Smile Gallery Los Gatos: Tooth-Colored Fillings
A clean and healthy smile is definitely something to show off! We are proud of our excellent results and invite you to take a look at some before and after pictures.
Don't hesitate to contact us if you have any questions.


It is not uncommon for some people to be born with smaller and narrower teeth called "peg laterals". In this case, we worked with an orthodontist to align her teeth and position these smaller teeth in the right space. Shortly after completion of orthodontics, she came to see us so we could "build up" her front teeth. Using tooth color filling material, Dr. Lin meticulously hand sculpted and added composite to her existing tooth to create a composite veneer.
Enhance Your Smile With Dental Bonding in Los Gatos
Composite veneers are an additive procedure. This means that no tooth structure was ...


This patient, who works in the service industry in Los Gatos and Saratoga, noticed his teeth getting dark and brown. It turns out he had a cavity on one tooth and decay starting underneath an old crown on an adjacent tooth. After removing the decay and fixing it with a tooth-colored filling and a new porcelain ceramic crown in Los Gatos, he felt more confident interacting with customers, more youthful, and energized.


This Los Gatos High School student had composite veneers done as a child due to a sporting accident that broke her front tooth. Over time her composite veneer chipped and started to stain and discolor. Because she's so young, we recommended redoing her composite veneers to improve the color and match her other teeth. Dr. Lin hand sculpted a new composite veneer and contoured it to recreate her natural tooth shape, size, and whiter shade.
In the future, she may be a good candidate for porcelain veneers which are stronger and less likely to chip or stain, and have a ...


This high school student was born with smaller and narrower teeth. He also chipped his front teeth when playing sports. After orthodontics was completed at James Lin DMD, there were still some gaps between his front teeth. Due to his young age, we recommended tooth bonding in Los Gatos to cosmetically build up the teeth and provide a functional result. The patient's parents were very happy with how we were able to make his front teeth look more natural in size.


This patient complained of sensitivity to sweets and cold drinks along her gums. Turns out that a significant amount of enamel had broken down along the gum line. Combined with gum recession, her tooth's root surface was exposed, causing the sensitivity. Our Los Gatos dentist bonded a tooth-colored filling on her tooth and polished it in order to blend with the natural tooth. Not only did this bonding protect the tooth from sensitivity, so she could enjoy her favorite foods again, but it also improved the cosmetic appearance!


Upon visual examination and consulting the x-rays, it was evident that this patient had some cracked silver fillings and cavities underneath them. These silver fillings were placed when she was a young teenager.
She requested to have her cavities fixed with tooth-colored fillings. She said that whenever she laughed, she would cover her mouth because she was afraid people could see the silver fillings on her bottom teeth.
After removing the broken silver fillings and cleaning out the cavities underneath, new tooth-colored fillings in Los Gatos were placed and polished to give this patient a healthier appearance.


This working professional from Saratoga chipped a front tooth. He called in seeking emergency care in our Los Gatos dental office, which was close to his work office.
We were able to get him in promptly for a dental emergency exam and provide same-day dental treatment. We selected a tooth-colored filling material that matched the color of his teeth and then bonded the filling in place, shaped it, and polished it so that it was unnoticeable and blended with his tooth seamlessly.
Our patient appreciated the prompt dental care and was happy that he could conveniently return to work.


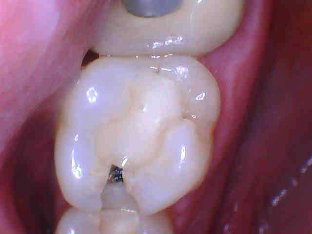
This retired gentleman from Monte Sereno was concerned about trapping food in his molar. It turns out he had an old broken filling with a cavity.
After removing the cavity, we repaired his broken tooth with a tooth-colored filling in Los Gatos. He was happy we figured out the problem and prevented his broken tooth from further damage so he could eat again without food getting caught between his teeth.


This patient from Campbell had not seen a dentist regularly. Then, one night he chipped his front tooth and saw us for an emergency exam.
After asking some questions, the patient shared with Dr. Lin that he clenches his teeth at night and that when he wakes up he has sore jaw muscles. After choosing a tooth-colored filling to match his natural tooth, Dr. Lin proceeded to fix the chip with dental bonding and blended the tooth-colored filling.
Interested in Learning More? Call James Lin, DMD Today!
To help prevent further wear on his teeth and to protect them from bruxism, Dr. ...