James Lin DMD

In-Office Teeth Whitening in Los Gatos

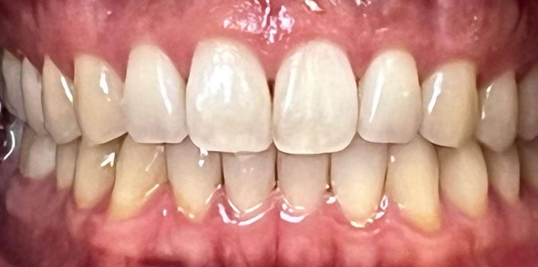
Our Los Gatos dental office uses the Sinsational Smiles whitening system. Patients like it because it only takes 20 minutes and they experience no sensitivity (compared to other major brands).

Most patients like to pair a whitening session with their cleaning appointments, so they leave our office with clean teeth and a brighter smile! Fun facts: Sinsational Smiles whitening is made in the USA, organic, BPA-free, eco-friendly, and green-certified.

Still need an appointment?
If you have difficulty using our website, please email us or call us at (408) 358-2161
View the ADA Accessibility Statement
Privacy Policy