James Lin DMD

Dental Crowns Before & After

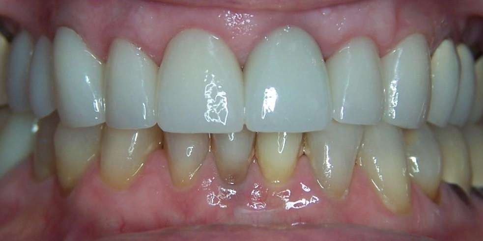
Over the last few years, this lovely Los Gatos patient felt her teeth were aging her. She could not smile because it would show her receding gums along the edges of her crowns. Furthermore, these old crowns have started to appear yellow in color and detract from her smile. She was hesitant at first, but finally decided to whiten her teeth and proceed with replacing eight units of crowns and bridges. She wishes she did this earlier!

Improve your smile today – call to schedule a consultation!
If you have difficulty using our website, please email us or call us at (408) 358-2161
View the ADA Accessibility Statement
Privacy Policy