James Lin DMD

Clear Aligners Before & After


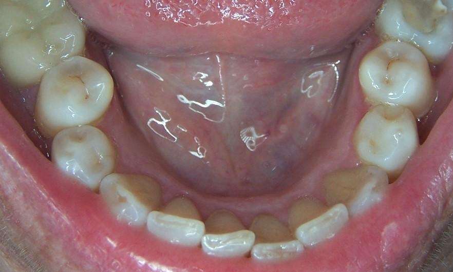
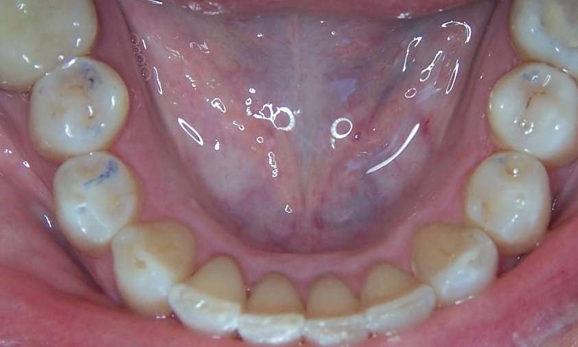
 A long time patient of ours had noticed her teeth shifting and her bite changing. She noticed that her front teeth were colliding more than they used to which could be causing some chipping of her bottom teeth. As well, her bottom teeth were crowded and hard to floss. We suggested clear aligners in Los Gatos as a service to improve the function and health of her gums. 

Call Us To Learn About Clear Aligners in Los Gatos

As a very compliant patient, the clear aligner process took about 10 months. After completion, our patient felt that her teeth were straighter, and had a more balanced and softer bite. She also started flossing more regularly because it was much easier to do now, which has led to improved gum health. 
 

Related Services:

Clear Aligners
Clear Aligners Create Confident Smile
Ready to book an appointment?
If you have difficulty using our website, please email us or call us at (408) 358-2161
View the ADA Accessibility Statement